Clinical Examination of Knee
Evaluation of Knee:
Evaluation of the Knee Joint includes the following:
- Complete and Detailed History.
- Clinical Examination with Special Tests.
- Correct Imaging.
Complete & Detailed History:
This should include the following:
- Duration of symptoms e.g pain, swelling, catching / locking
- Intensity of pain
- Exact location of pain
- Type of pain: dull, throbbing, intermittent or continuous
- Aggravating and relieving factors
- Popping or clicking noise
- Inactivity of the muscle
- Details about previous injury
- Details about previous surgery
Clinical Examination includes:

Inspection of the Knee:
Muscle wasting, presence of scars, swelling, redness, & deformity

Palpation of the Knee includes:
Checking for warmth, location of tenderness, checking for presence of synovitis, checking for presence of effusion.

Measurement of Deformity:
Muscle wasting, presence of scars,
swelling, redness, & deformity

Range of Motion of Knee Joint:
Normal range is from 0 degrees extension to 140 degrees flexion
Special Tests:
McMurray's Test for Meniscus Tear:

Special Tests:
Lachman’s Test for Anterior Cruciate Ligament:

Anterior Drawer Test for ACL:

Posterior Sag Test for Posterior Cruciate Ligament:

Posterior Drawer Test:

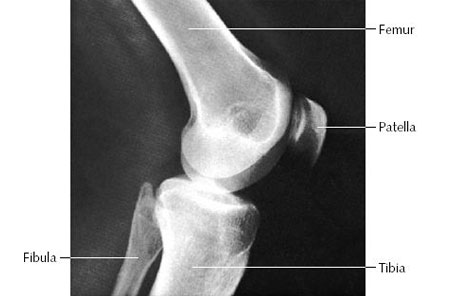
Knee Imaging:
X-rays of the Knee:
These are done to diagnose problems in the bones and or joints
The common types of Knee X-rays a Knee Surgeon would require are

Knee (AP Weight-Bearing View)

Lateral Knee X-rays

Axial View
MRI of the Knee:
This is done to diagnose problems with the cartilage, menisci, ligaments or other soft tissues around the Knee.




