Patella Baja
Introduction:
Patella Baja or Patella Inferna is a low lying Patella (Kneecap) with respect to the Femoral Trochlea or groove. It may be either congenital (from birth) or acquired (after Total Knee Replacement Surgery)
Causes:
Congenital: From birth
Acquired: After Total Knee Replacement

How does one get a Patella Baja after Total Knee Replacement:
- Patella Baja after Total Knee Replacement is secondary to distal positioning of the Patella relative to the Femoral Trochlea or shortening of the Patellar tendon, as a result of trauma or surgery.
- Patella Baja also can occur postoperatively as a result of scarring and shortening of the Patellar tendon, scarring of the Patellar Tendon to the anterior aspect of the Tibia, or both.
- Another cause of acquired Patella baja seen commonly in Total Knee Replacement is elevation of the Joint line, referred to as Pseudo-Patella Baja. The Patella remains in a normal position relative to the Femoral Trochlea; however, the distance between the Patella and Tibia is narrowed. Pseudo-Patella Baja can be a result of Tibial or Femoral over-resection, which requires to be replaced by a large polyethylene insert causing decrease in distance between Tibia and Patella.
What happens if there is a Patella Baja after Total Knee Replacement ?
- Patella Baja can lead to decreased range of motion (ROM) of the Knee Joint.
- Extensor lag due to decreased lever arm.
- Impingement of the Patella against the Tibial polyethylene or Tibial plate,
- Anterior Knee pain
- Increased energy expenditure
- Rupture of the Patellar or Quadriceps Tendons
Patella Baja is also called Patella Infera.
Patella Baja may lead to considerable pain, as the Patella impinges against the Tibia when the Knee bends and arthritic changes can occur at the back of the Patella.
Clinical Features:
- Pain
- Decreased range of motion
- Swelling
- Extensor Log

Patella Infera

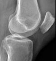
Patella Baja X-ray
Treatment:
Corrective Measures include:
- Re-establishing the Joint line by use of distal Femoral augments
- Tibial tubercle Osteotomy with proximal displacement
- Lengthening of the Patellar tendon
- Shaving of the anterior portion of the Tibial polyethylene
- Placement of the Patellar implant in a cephalad position


