Pictures of Knee Arthroscopy
Surgery for Meniscus

Meniscus Tear


After Menisectomy

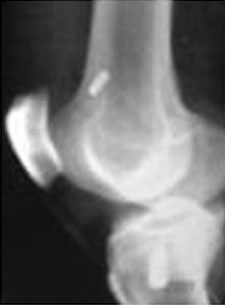
Surgery for ACL

NEW ACL

Post-op X-ray

Function After 3 Months

Function After 3 Months
Surgery for Cartlage defect

Before Surgery

After Surgery

function after 3 months

function after 3 months
Surgery for recurrent Patella Dislocation






