Pictures of Fractures Around Knee
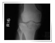
Fracture Tibial Plateau with metaphyseal extension :

Before Surgery

After Surgery
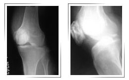
Fracture lateral condyle with depression :

Before surgery X-ray

Before surgery 3-DCT

After Surgery X-ray

Function After Surgery
Non union fracture lateral tibial condyle in a 70yr old female :

Before Surgery

During Surgery

Removed piece of the lateral condyle

Implant with metal wedge

Removed piece of the lateral condyle


