When considering a Total Knee Replacement (TKR), most patients look forward to a life free from chronic pain and stiffness. While TKR is one of the most successful orthopedic procedures, a small percentage of patients may encounter a specific and…
Read MoreWhen faced with knee pain or instability, understanding your diagnosis and treatment options is crucial. Two common knee injuries that sometimes require surgery involve the Medial Patellofemoral Ligament (MPFL) and the Anterior Cruciate Ligament (ACL). A question many patients ask…
Read MoreKnee pain can be debilitating, often limiting mobility and affecting your quality of life. If conservative treatments such as physiotherapy and medications fail to provide relief, surgical interventions may be the next step. Two primary surgical options for chronic knee…
Read MoreThe Anterior Cruciate Ligament (ACL) is one of the key stabilizing ligaments in the knee. It prevents excessive forward movement of the shinbone (tibia) relative to the thighbone (femur) and provides rotational stability. An ACL injury, particularly a tear, can…
Read MoreKnee pain can be an alarming and frustrating experience for many people. Whether you’re an athlete, an active individual, or someone just going about daily life, knee pain can significantly impact your quality of life. One of the most common…
Read MoreIn the world of sports, where agility and precision are paramount, sustaining an injury can be a devastating setback. One such injury that athletes often face is a meniscus tear. Meniscus tears can happen to anyone, not just professional athletes,…
Read MoreMumbai is among the top cities that is known for its best in class orthopedic care in India. It also houses a few of the renowned joint replacement and trauma facilities that are equipped with state-of-art technology. If you are…
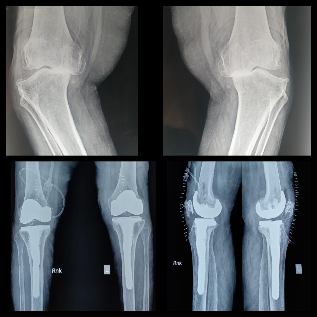
Read MoreHistory: 70-yr-old lady was unable to walk because of severe deformities. Case: This lady was operated by Dr. Amyn Rajani few days back. A long stem in the tibia is very important in such cases to prevent periprosthetic fracture. Due…
Read MoreAccording to a renowned knee specialist in Mumbai, the recovery and rehabilitation process has a very important role after a total knee replacement surgery. It enables you to get back on your feet and resume an active lifestyle efficiently. Moreover,…
Read MoreAnterior Cruciate Ligament or ACL injury can mostly be seen in sportsperson or people involved in rigorous physical activities. They can lead to severe consequences if not treated or prevented. However, as per a surgeon who performs ACL tear surgery…
Read More

